Vui lòng nhập Email
Email Không đúng định dạng
Vui lòng nhập Họ & Tên.
Tóc rụng đến mức hói đầu là trăn trở của cả nam lẫn nữ. Nếu không điều trị đúng cách và kịp thời thì lâu dần, sẽ hết tóc trên đầu.
Các nghiên cứu cho thấy, việc thúc đẩy tế bào mầm tóc tăng trưởng tại nang tóc sẽ giúp tóc mọc mới trở lại, dù rụng tóc, hói đầu đã "bền bỉ" lâu năm.
Theo Dr. Diana Bihova, chuyên khoa da liễu ở New York, rụng tóc được xem là bình thường ở con người khi mỗi ngày có khoảng <100 sợi tóc "lìa đầu". Nhưng nếu tóc rụng nhiều hơn 100 sợi là có triệu chứng của bệnh rụng tóc. Lâu ngày, lỗ chân lông bít kín tạo ra một vùng da trơn láng, thì đó là hiện tượng hói. Hoặc đơn giản, chỉ cần cầm 10 cọng tóc ở chỗ thường rụng, kéo căng mà thấy có 3 sợi rụng thì có nguy cơ hói đầu.
Nghiên cứu của các nhà khoa học Mỹ gần đây đã tìm ra gốc rễ của rụng tóc, hói đầu nằm ở tế bào mầm tóc, mà thần kinh nội tiết là cơ quan chỉ huy. Theo đó, thần kinh nội tiết điều khiển quá trình tế bào mầm tóc ban đầu từ phình tóc di chuyển xuống nhú bì để biệt hoá thành sợi tóc mà trình diện lên da đầu.
Với nam giới, khi rối loạn thần kinh nội tiết nam, nang tóc xuất hiện nhiều Dihydrotestosterone (hậu nội tiết tố nam). Trong quá trình chuyển hóa, chất này sẽ phá huỷ tế bào mầm tóc, làm tóc mọc yếu hay không mọc nữa, lâu ngày tuyến bã làm bít kín lỗ chân lông. Vì thế, đàn ông hói đầu thường có một lớp da trơn láng, không thấy lỗ chân lông.
Câu hỏi đặt ra là tại sao phụ nữ cũng bị thưa tóc, hói đầu? Theo các chuyên gia, nhiều người thường lầm tưởng hói đầu là căn bệnh độc quyền của nam giới. Tuy nhiên, thực tế lại không phải vậy. Khảo sát cho thấy nhiều phụ nữ bị rụng tóc sau sinh, rụng tóc theo mùa, hoặc rụng tóc do lạm dụng hóa chất làm tóc… Nhưng cũng có không ít chị em bị rụng tóc nhiều và kinh niên nên gây ra hói. Nguyên nhân chính là do sự rối loạn nội tiết tố nữ (khi mang thai, sau sinh, tiền mãn kinh và mãn kinh).
Ở cả hai giới, stress cùng với áp lực triền miên trong công việc và đời sống từ đó cơ thể tiết ra những chất làm suy yếu tế bào mầm tóc khiến tóc bị rụng, tóc không mọc nữa, dẫn đến hói đầu. Đặc biệt, yếu tố gia đình rất rõ nét, với "gen" hói được di truyền cho các thành viên trong gia tộc. Người đã có "gen" hói đầu lại cộng thêm những yếu tố gây hại thì càng làm cho chứng hói đầu xuất hiện sớm hơn, và có thể trầm trọng hơn.
Với phát minh mang tính đột phá, các nhà khoa học Mỹ đã khẳng định rằng: Rụng tóc là do tế bào mầm bị suy yếu. Nếu tăng cường thúc đẩy các tế bào mầm tóc tăng trưởng khỏe mạnh tại nang tóc, thì tóc mới sẽ mọc lại và mọc chắc khỏe. Có 3 khâu quan trọng để hồi sinh mái tóc chắc khỏe, đó là: Bảo vệ tế bào mầm tóc, Nuôi dưỡng tế bào mầm tóc và Cân bằng thần kinh nội tiết.
Trong đó, yếu tố có sức tác động mạnh mẽ nhất đến tế bào mầm tóc chính là Thần kinh nội tiết - "bộ chỉ huy" điều khiển toàn bộ hoạt động của cơ thể nói chung và đặc biệt là "hạt mầm" này. Nếu không kịp thời cân bằng thần kinh nội tiết để ổn định hoạt động của tế bào mầm tóc, tóc sẽ rụng nhiều, tóc mới không thể mọc hoặc mọc lên yếu ớt và nhanh chóng rụng đi. Khi đó, nguy cơ thưa tóc, hói đầu rất cao; và nếu tình trạng này kéo dài có thể sẽ trở thành hói đầu vĩnh viễn.
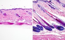
Tế bào mầm tóc - phát hiện đột phá về nguồn gốc mái tóc khỏe đẹp
Tuy nhiên, vì quá trình hoạt động của tế bào mầm tóc rất khác biệt giữa nam và nữ, cụ thể là một bên thì gắn liền với nội tiết tố nam, một bên có mối liên hệ mật thiết với nội tiết tố nữ; nên cần có giải pháp riêng biệt cho nam và nữ thì mới mang lại hiệu quả thực sự trong việc điều trị rụng tóc và kích thích tóc mọc trở lại chắc khỏe, lâu dài.
Tin cùng chuyên mục
Vui lòng nhập Tên hiển thị
Vui lòng nhập Email
Email Không đúng định dạng
Vui lòng nhập Email
Email Không đúng định dạng
Mật khẩu không đúng.
Thông tin đăng nhập không đúng.
Tài khoản bị khóa, vui lòng liên hệ quản trị viên.
Có lỗi phát sinh. Vui lòng thử lại sau.
Nhập mã xác nhận
Đóng lạiVui lòng nhập thông tin và ý kiến của bạn
XThêm chuyên mục, tăng trải nghiệm với Tuổi Trẻ Sao
Từ ngày 1-1-2023, Tuổi Trẻ Online giới thiệu Tuổi Trẻ Sao - phiên bản đặc biệt dành riêng cho các thành viên với nhiều chuyên mục và trải nghiệm thú vị, bao gồm: Tư vấn pháp luật, Hỏi chuyện sức khỏe; Xem nhật báo sắc nét trên mạng (E-paper), Tuổi Trẻ Live (trực tiếp các sự kiện thời sự nóng bỏng, hấp dẫn).
Tuổi Trẻ Sao được thiết kế thông thoáng với tất cả các trang, chuyên mục và video đều không có quảng cáo hiển thị, không làm ngắt quãng sự tập trung của bạn đọc.
Bằng cách đóng góp Sao, thành viên Tuổi Trẻ Sao có thể tham gia các hoạt động và tương tác trên nền tảng Tuổi Trẻ Online như tặng Sao cho tác giả và các bài viết yêu thích, đổi quà lưu niệm trong chương trình, đăng ký quảng cáo, mua sắm trực tuyến.
Báo Tuổi Trẻ phát triển Tuổi Trẻ Sao nhằm từng bước nâng cao chất lượng nội dung, tăng khả năng kết nối, tương tác và thực hiện các nội dung mới theo nhu cầu của số đông công chúng.
Chúng tôi hy vọng Tuổi Trẻ Sao sẽ góp phần chăm sóc, phục vụ và mang lại những trải nghiệm mới mẻ, tích cực hơn cho cộng đồng độc giả của Tuổi Trẻ Online.
TTO
Tuổi Trẻ Sao
Thông tin tài khoản ngày
Tài khoản được sử dụng đến ngày | Bạn đang có 0 trong tài khoản
1 sao = 1000đ. Mua thêm sao để tham gia hoạt động tương tác trên Tuổi Trẻ như: Đổi quà lưu niệm, Tặng sao cho tác giả, Shopping
Tổng số tiền thanh toán: 0đ
Thanh toán
Tối đa: 1500 ký tự
Hiện chưa có bình luận nào, hãy là người đầu tiên bình luận