testtuoitre

Tag: xe tập đi

Những lầm tưởng cho trẻ ngồi 'xe tròn tập đi' không phải cha mẹ nào cũng biết

Lâu nay, xe tròn tập đi là lựa chọn của nhiều gia đình Việt khi có con trẻ vào giai đoạn tập đi. Tuy nhiên một số quốc gia trên thế giới khuyến cáo không sử dụng, thậm chí phạt tù nếu chứa và bán loại xe này.

Chị Hai hú hồn sau khi dọa em không được bốc đầu xe tập đi

'Chị Hai không phải dọa em, để xem ai bị mẹ chửi biết liền nè!', em trai said.

Mẹ phản xạ xuất thần cứu con trai ngồi xe tập đi ngã bậc tam cấp

Thấy con trai ngồi xe tập đi chạy trong nhà ra, người mẹ đang quét sân vội lao đến và kịp thời đỡ khi bé vừa ngã xuống bậc tam cấp.

Bé trai lao đến cứu em ngồi xe tập đi bị trôi xuống dốc

Thấy em bé ngồi xe tập đi đang trôi xuống dốc, cậu bé lao tới kịp bắt lấy chiếc xe, cứu em bé thoát khỏi nguy hiểm.

Mẹ hốt hoảng lao ra hè, cứu con ngồi xe tập đi thoát ngã bậc thang

Người mẹ từ trong bếp chạy ra hè, kịp kéo chiếc xe lại giúp con thoát khỏi cú ngã đau. Video như lời cảnh tỉnh cho các gia đình có con nhỏ tập đi cần phải cẩn trọng.

Nam thanh niên vứt xe máy giữa đường, lao đến cứu em bé

Thấy em bé ngồi trên xe tập đi đang trôi xuống dốc, chàng trai vội vàng vứt xe máy ra đường, lao đến cứu em bé thoát khỏi nguy hiểm.

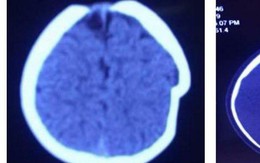
Em bé 8 tháng tuổi bị lún sọ vì xe tập đi

TTO - Em bé 8 tháng tuổi vừa được phẫu thuật nâng sọ phần chóp đầu trái hơn 1cm tại Bệnh viện Đa khoa tỉnh Phú Thọ sau khi bị ngã với xe tập đi.