testtuoitre

Tag: viêm nha chu

Hai lợi ích ít được biết đến của việc niềng răng

Nhiều người nghĩ rằng niềng răng giải quyết vấn đề răng khấp khểnh, giúp răng đều đẹp hơn nhưng thực tế niềng răng còn mang lại nhiều giá trị hữu ích.

Nha chu- đầu têu đột quỵ, sẩy thai, nhồi máu cơ tim

Ai cũng biết bệnh răng miệng có thể dắt dây sang nhiều vấn đề sức khỏe, nhưng không nhiều người biết đó có thể là những căn bệnh chết người.

Men vi sinh nha khoa - giải pháp mới cho bệnh viêm nha chu

Viêm nha chu là một căn bệnh phổ biến tại nhiều nước trên thế giới và ở cả Việt Nam, có đến 90% người Việt mắc bệnh về răng nướu.

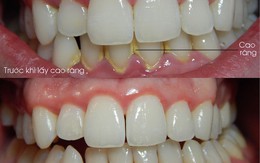
Tại sao phải lấy cao răng?

Không nên đợi có cao răng mới đi lấy, vì khi cao răng hình thành thì đã gây ra tổn thương và để lại hậu quả.

Khi nào nên lấy cao răng?

Có nơi khuyên nên lấy cao răng hàng ngày, có nơi kêu hàng tuần, có nơi lại khuyên hàng năm. Nên ứng xử với cao răng như thế nào cho đúng cách?

Bệnh hôi miệng

Hôi miệng là một triệu chứng của nhiều nguyên nhân gây bệnh. Tuy không phải là một tình trạng bệnh nguy hiểm, nhưng hôi miệng gây tác dụng rất lớn đến tâm lý.

Răng và những vấn đề liên quan

Ở người trưởng thành, răng mọc đầy đủ có đến 32 cái. Người xưa xác định tầm quan trọng của răng đối với con người trong câu thành ngữ: “Cái răng cái tóc là vóc con người”.