testtuoitre

Tag: vỉ trứng

Mẹ bất lực khi hai con thay nhau ngồi bẹp vỉ trứng trong siêu thị

Thấy anh trai ngồi bẹp vỉ trứng trong siêu thị, người em cũng chạy tới ngồi đè lên vỉ trứng khác khiến ai xem cũng phì cười.

Phát hiện bạn gái có 'sugar daddy' nhờ... những vỉ trứng

Trong khi cả thành phố thiếu trứng trầm trọng thì căn hộ của bạn gái lại đầy ắp mặt hàng này, khiến bạn trai tỏ ý nghi ngờ người yêu có 'sugar daddy'.

Nhiễm trùng tiêu hóa do... chuột

TTO - Tiếp xúc trực tiếp với phân chuột, nước tiểu chuột hay thực phẩm do chuột ăn dở bị ô nhiễm, chúng ta có thể bị bệnh nhiễm trùng tiêu hóa do vi khuẩn Salmonella, bệnh sốt vàng da xoắn khuẩn...

Audio 18-4: ​Báo động sụt lún từ Sài Gòn tới miền Tây

TTO - Đà Nẵng ồ ạt đầu tư căn hộ khách sạn, thấp thỏm chờ thí sinh “gật đầu”, tránh vi trùng tăng 12 lần trong thực phẩm, nền cộng hòa đội khăn Hồi giáo, Hàn Quốc khởi động chiến dịch bầu tổng thống... là những nội dung đáng chú ý trong tin audio hôm nay.

Nắng nóng, vi trùng tăng 12 lần trong đồ ăn thức uống

TTO - Những ngày qua thời tiết nắng nóng, thức ăn để trong môi trường có nhiệt độ từ 4,5 đến 60 độ C số lượng vi trùng vẫn phát triển rất mạnh.

​Những bệnh gây tổn thương não

TT - Một số tác nhân như vi trùng, siêu vi, nấm, ký sinh trùng... có thể gây tổn thương não - màng não ở trẻ em, nhưng thường gặp nhất là vi trùng và siêu vi.

2 ca tiêu chảy tử vong hiếm gặp

TT - Chỉ trong 11 ngày của tháng 7-2014 đã có hai trẻ ở huyện Bình Chánh, TP.HCM bị tử vong do bệnh tiêu chảy cấp.

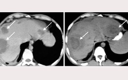
Những điều cần biết về ápxe gan

TT - Ápxe gan là tình trạng nhiễm trùng và gây ra ổ mủ bên trong gan, đây là một bệnh tương đối hiếm gặp. Nguyên nhân gây bệnh thường gặp nhất là ký sinh trùng và vi trùng hoặc do nhiễm nấm.

Văcxin mới ngừa 2 bệnh viêm màng não

TT - Ngày 14-6, Cơ quan Kiểm soát thực phẩm và thuốc Hoa Kỳ (FDA) đã chấp thuận lưu hành một loại văcxin phối hợp mới có tên Menhibrix, phòng ngừa hai chủng vi trùng gây bệnh viêm màng não là Neisseria meningitidis (nhóm C và Y) và Haemophilus influenzae (nhóm B, gọi tắt là Hib).

Nhiễm trùng nặng vì... nằm than!

TT - Bé trai 7 ngày tuổi (ba mẹ chưa đặt tên), nhà ở xã Hòa Định, huyện Chợ Gạo, tỉnh Tiền Giang, nhập Bệnh viện Đa khoa Tiền Giang với chẩn đoán viêm da mụn rộp có biến chứng nhiễm trùng huyết nặng.