testtuoitre

Tag: vi khuẩn ăn thịt người

Thêm bệnh nhân qua đời do 'vi khuẩn ăn thịt người'

Đắk Lắk ghi nhận thêm một ca tử vong do "vi khuẩn ăn thịt người", là nạn nhân thứ 3 từ đầu năm đến nay.

Đắk Lắk phát hiện hai ca bệnh nhiễm 'vi khuẩn ăn thịt người'

Ngành y tế tỉnh Đắk Lắk vừa ghi nhận 2 trường hợp nhiễm "vi khuẩn ăn thịt người" Whitmore, hiện tỉnh tăng cường các biện pháp phòng chống bệnh lây lan.

Người lái tàu biển suýt bị cắt bỏ chân vì ‘vi khuẩn ăn thịt người’

Anh N.V.T. (41 tuổi, ở Thanh Hóa) suýt phải cắt bỏ một chân vì bị viêm mô bào nặng do nhiễm trùng Vibrio vulnificus - một trong những loại 'vi khuẩn ăn thịt người'.

Sau bão, Florida ghi nhận 13 ca tử vong vì vi khuẩn ăn thịt người

Bang Florida (Mỹ) ghi nhận 13 ca tử vong trong số 74 trường hợp nhiễm vi khuẩn ăn thịt người hiếm gặp, nhiều khả năng liên quan đến hai cơn bão Helene và Milton.

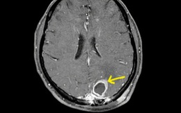
‘Vi khuẩn ăn thịt người’ tấn công não người bệnh

Thời gian qua, Bệnh viện Bạch Mai liên tục tiếp nhận nhiều bệnh nhân nhiễm vi khuẩn Whitmore (hay còn gọi là "vi khuẩn ăn thịt người"), trong đó có bệnh nhân phát hiện ổ áp xe trong não, mủ có chứa vi khuẩn Whitmore.

Tập trung cứu chữa bé gái 11 tuổi ở Làng Nủ

Các bác sĩ của Bệnh viện Bạch Mai và chuyên gia Nhật đã có buổi hội chẩn toàn viện sáng nay 15-9, tập trung hết sức cứu bé gái 11 tuổi được chuyển đến từ Làng Nủ, Bảo Yên, Lào Cai.

Bé gái nhiễm ‘vi khuẩn ăn thịt người’ ở Đồng Nai đã xuất viện

Sau gần 3 tuần điều trị, bé gái nhiễm 'vi khuẩn ăn thịt người' ở Đồng Nai đã khỏe mạnh và xuất viện.

Tỉnh Hòa Bình ghi nhận 2 người nhiễm ‘vi khuẩn ăn thịt người’

Cả hai bệnh nhân tại tỉnh Hòa Bình nhập viện trong tình trạng nguy kịch, do mắc bệnh Whitmore (hay còn gọi là nhiễm vi khuẩn ăn thịt người).

Điểm tin 18h: Tiền đồng bớt mất giá trước USD; Quân Nga đang tiến nhanh ở miền đông Ukraine

Nhiều thông tin được cập nhật trong chương trình "Điểm tin cùng bạn 18h" hôm nay, ngày 3-9-2024

Bé gái 14 tuổi ở Đồng Nai nhiễm ‘vi khuẩn ăn thịt người’

Đồng Nai vừa ghi nhận ca mắc bệnh Whitmore (còn gọi là 'vi khuẩn ăn thịt người') ở bé gái 14 tuổi.