testtuoitre

Tag: Thủy tinh

Ghét Thủy Tinh

Không ngờ mối thù của Thủy Tinh với Sơn Tinh ngàn năm vẫn dai dẳng như vậy, hàng năm cứ dâng nước đòi lại Mỵ Nương. Năm nay xem ra Thủy Tinh làm dữ.

Thủy Tinh bị xuyệt điện không khác gì 'bên Cam'

Tình trạng tận diệt thủy sản bằng xuyệt điện đang giảm dần do bị xử lý gắt gao. Thủy Tinh bồi hồi nhớ lại quá khứ từng bị điện giựt hàng ngày.

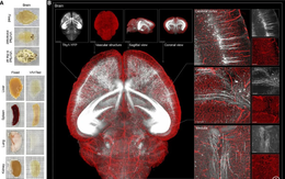
Công nghệ 'thủy tinh ion' mở kỷ nguyên mới cho nghiên cứu mô

Nhóm khoa học Đại học Thanh Hoa phát triển công nghệ làm trong suốt mô nội tạng, mở ra góc nhìn mới về cấu trúc cơ thể.

Chi li tính chuyện miệng ly

TTCT - Các quán bar và nhà hàng có lẽ nên quan tâm hơn đến loại ly mà họ sử dụng.

Sơn Tinh, Thủy Tinh và lễ vật... nội tạng heo

Voi chín ngà, gà chín cựa... còn dễ kiếm, chứ giờ nhà vua đòi thứ đặc sản nội tạng heo này thì Sơn Tinh, Thủy Tinh đành bó tay. Biếm họa trên bìa 4 Tuổi Trẻ Cười phát hành sáng nay, 15-5-2025.

Nhớ xóm Lò Gốm, xóm thủy tinh ở Chợ Lớn

Vùng Phú Lâm có một con đường mang tên Lò Gốm, nhưng giờ đi tận Lái Thiêu cũng khó tìm ra lò gốm; xóm thủy tinh chỉ còn trong ký ức...

Sơn Tinh, Thủy Tinh có thể được minh oan trong vụ động đất

Viện Vật lý địa cầu nhận định những vụ động đất vừa qua ở Tây Nguyên có thể là động đất kích thích do các hồ chứa thủy điện trong vùng. Sơn Tinh, Thủy Tinh tạm thở phào nhẹ nhõm...

Thần đất được giải oan

Mấy hôm nay thần đất thở phào nhẹ nhõm.

Sơn Tinh, Thủy Tinh làm hòa vì không chịu được... mặn

Diễn biến thời tiết cực đoan khiến hai kẻ thù không đội trời chung Sơn Tinh, Thủy Tinh phải bắt tay giảng hòa.

Thủy Tinh chúc mừng Sơn Tinh đạt tín chỉ hot

Một ngày đẹp trời trong tương lai, Thủy Tinh cầm bó hoa san hô đến chúc mừng Sơn Tinh đạt tín chỉ carbon nhờ trồng quá trời rừng.