testtuoitre

Tag: sinh đôi

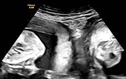
Hai chị em sinh đôi cùng tần số

'Đây là hai chị em sinh đôi, còn hai anh em sinh đôi thì sao?', một người xem bình luận.

Sinh đôi lần hai, tổng cộng 3 con, mẹ dưới 35 tuổi được hưởng chính sách hỗ trợ?

Một bạn đọc hỏi: 'Tôi 33 tuổi, sinh lần 2 là sinh đôi, tổng cộng 3 con. Tôi có được hưởng chính sách hỗ trợ của TP.HCM không?'.

Ảnh vui 12-3: Bức tường nghị lực

'Bức tường phản đối ô tô gây hại', một người trêu.

Bắt thanh niên quan hệ tình dục với 2 chị em sinh đôi mới 15 tuổi

Công an TP Quảng Ngãi đã tống đạt quyết định khởi tố bị can và bắt tạm giam thanh niên quan hệ tình dục với hai chị em sinh đôi mới 15 tuổi.

Hy hữu người phụ nữ sinh đôi từ tử cung đôi

Một sản phụ ở Trung Quốc vừa sinh đôi một trai một gái từ hai tử cung khác nhau, một trường hợp cực kỳ hiếm gặp.

46 cặp sinh đôi học chung trường đại học ở TP.HCM được giảm 50% học phí

92 sinh viên là anh, chị em sinh đôi cùng học chung một trường đại học ở TP.HCM được trường giảm 50% học phí.

Hiện tượng cực hiếm: Voi sinh đôi 'đủ nếp đủ tẻ' ở Thái Lan

Con voi 36 tuổi tại một cơ sở bảo tồn và huấn luyện voi ở miền trung Thái Lan đã gây bất ngờ khi sinh hạ một cặp voi sinh đôi đủ cả con đực và con cái.

Hai bé sinh đôi từ 2 tử cung của mẹ, vào 2 ngày khác nhau

Đây là trường hợp sinh đôi hiếm gặp với tỉ lệ 1/50 triệu phụ nữ mang thai.

Siêu mẫu Thanh Hằng tiết lộ mong ước sinh con sớm

Hậu đám cưới được tổ chức theo phong cách riêng, siêu mẫu Thanh Hằng 'dốc hết bầu tâm sự' về cuộc sống riêng và dự định cho tổ ấm nhỏ.

Các cặp song sinh kỳ lạ - Kỳ cuối: Những cặp song sinh tài sắc 'mười phân vẹn mười'

Lịch sử y văn ghi nhận những cặp song sinh lành lặn, vẹn toàn tài sắc lại nhiều hơn hẳn. Thậm chí có những đôi đã được ví như "thiên thần".