testtuoitre

Tag: phổi

Trứng cá mập không nở được vì nóng lên toàn cầu

Theo một nghiên cứu mới, tỉ lệ sống sót của phôi cá mập sẽ giảm từ 82% xuống 11% trong trường hợp xấu nhất, thậm chí có thể ngừng nở nếu hiện tượng nóng lên toàn cầu tiếp diễn.

WHO: Thế giới sẽ có 35 triệu ca ung thư mỗi năm vào 2050

Tổ chức Y tế thế giới (WHO) cảnh báo tỉ lệ ung thư toàn cầu sẽ tăng đến 77% vào giữa thế kỷ này, bởi tuổi tác, béo phì và hút thuốc, uống rượu.

Mắc COVID-19, dễ tử vong hơn người khác là do gene

TTO - Các nhà khoa học Anh đã xác định được một gene làm tăng gấp đôi nguy cơ tử vong do COVID-19. Nghiên cứu này đã được công bố trên tạp chí khoa học Nature Genetics.

Cụ ông 95 tuổi bị ho 2 tháng, vào bệnh viện phát hiện có hạt đậu phộng trong phổi

TTO - Một cụ ông 95 tuổi nhập viện do nặng ngực, sốt, ho, khò khè kéo dài… không rõ nguyên nhân. Các bác sĩ nội soi phế quản và phát hiện hạt đậu phộng nằm trong phổi bệnh nhân.

Thuốc lá điện tử và những lầm tưởng

Hiện nay thuốc lá điện tử được nhiều người trẻ sử dụng vì cho rằng như vậy là sành điệu, thời thượng và vì lầm tưởng rằng nó an toàn hơn thuốc lá điếu truyền thống.

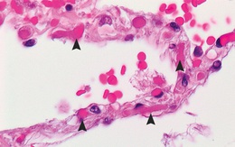
Những phát hiện bất ngờ từ phổi bệnh nhân COVID-19

TTO - Các mạch máu phổi đã giữ vai trò quan trọng trong quá trình nhiễm virus SARS-CoV-2. Nghiên cứu quan trọng này sẽ góp phần thúc đẩy phát triển thuốc điều trị COVID-19.

Phổi bệnh nhân 91 tốt lên, tổng chi phí điều trị khoảng 3 tỉ đồng

TTO - Các thông số hô hấp của bệnh nhân 91 (phi công người Anh) đang cải thiện và tốt lên từng ngày. Theo đó, tổng chi phí điều trị bệnh nhân đến nay khoảng 3 tỉ đồng và được Bệnh viện Bệnh Nhiệt đới (TP.HCM) tạm ứng chi trả.

Việt Nam 0 ca mới, các bệnh viện hội chẩn lần 3 ca phi công người Anh

TTO - Hôm nay 19-5, Việt Nam không ghi nhận thêm ca bệnh mới. Các chuyên gia từ bệnh viện Bệnh Nhiệt đới TP.HCM, Chợ Rẫy, Việt Đức, Trung ương Huế... đã có cuộc hội chẩn 3 miền Bắc - Trung - Nam lần thứ 3 về ca bệnh phi công người Anh.

​Để lá phổi luôn khỏe mạnh

Hệ hô hấp trong cơ thể con người đóng vai trò như một hệ thống thông gió trong một tòa nhà, đảm bảo luồng khí đi đến mọi nơi trong cơ thể.

​Sức khoẻ của bạn: Hiểu về tăng áp động mạch phổi

TTO - Tăng áp động mạch phổi là một bệnh không thể chữa được. Nếu không quan tâm điều trị đúng cách, bệnh có thể trở nên nghiêm trọng và thậm chí gây tử vong.