testtuoitre

Tag: Phát hiện

Cứu sống hai em bé nuốt kim băng và cây kẹo mút

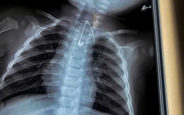
Ngày 8-1, Bệnh viện Sản Nhi Cà Mau cho biết các bác sĩ vừa tiếp nhận và xử trí thành công hai trường hợp bệnh nhi nuốt dị vật đặc biệt nguy hiểm, trong đó có ca thủng tá tràng và ca dị vật sắc nhọn nằm sát động mạch chủ, đe dọa đến tính mạng.

Chồng giấu 'quỹ đen' trong nắp ca pô vẫn bị vợ phát hiện

Đoạn video hài hước lan truyền trên mạng ghi lại cảnh người chồng bị vợ phát hiện 'quỹ đen' giấu trong nắp ca pô - bài học nhớ đời cho cánh mày râu!

Kiểm lâm TP.HCM phát hiện 8 sọt nhựa chứa 500 con chim cu ngói không giấy tờ

Ngày 20-10, Đội Kiểm lâm cơ động và phòng cháy chữa cháy rừng số 1 (thuộc Chi cục Kiểm lâm TP.HCM) phát hiện khoảng 500 con chim cu ngói không có giấy tờ chứng minh nguồn gốc hợp pháp.

Phát hiện loài chuột chũi mới ở Khu bảo tồn thiên nhiên Pù Luông

Các nhà khoa học vừa phát hiện và công bố loài chuột chũi mới ở Khu bảo tồn thiên nhiên Pù Luông, tỉnh Thanh Hóa.

Rúng động Nhật Bản: Thi thể con gái bị mẹ cất giấu trong tủ đông suốt 20 năm

Bà Keiko Mori (75 tuổi) hiện đang bị bắt giữ với cáo buộc “bỏ mặc thi thể”. Vụ án vẫn đang được cảnh sát tiếp tục điều tra, thu hút sự quan tâm lớn của dư luận trong và ngoài nước.

Phát hiện người lạ đột nhập, chàng trai khiến người xem ấm lòng

Theo chia sẻ của người chia sẻ video, khách sạn của chị gái anh bất ngờ có người lạ vào, con trai chị phát hiện và bắt được. Nhưng điều làm anh bất ngờ là phản ứng của cháu trai. Câu chuyện nhanh chóng thu hút nhiều sự quan tâm của cộng đồng mạng.

Phát hiện thi thể trẻ sơ sinh trong thùng rác

Dọn vệ sinh lúc 3h sáng, công nhân Công ty Môi trường đô thị Quảng Ngãi phát hiện thi thể một trẻ sơ sinh trong thùng rác. Vụ việc nhanh chóng được báo cơ quan chức năng.

Khách trọ có sở thích sưu tầm chai đựng... nước tiểu

Căn phòng cách toilet chỉ 10 mét nhưng được "trang trí" bằng hàng trăm chai nước tiểu được sưu tầm bởi khách trọ khiến chủ nhà tá hỏa.

Điều tra vụ người đàn ông nằm úp mặt chết dưới kênh

Công an tỉnh Đồng Tháp cho biết đang điều tra nguyên nhân cái chết của người đàn ông nằm úp mặt dưới kênh nước công cộng.

Lần đầu phát hiện chất ô nhiễm công nghiệp độc hại trong khí quyển Mỹ

Lần đầu tiên các nhà khoa học ghi nhận sự xuất hiện của một chất ô nhiễm công nghiệp độc hại trong khí quyển tại Mỹ.