testtuoitre

Tag: phát hiện sớm

Giảm thiểu rủi ro do hỏa hoạn với công nghệ IoT từ VNPT

Cháy nổ là mối đe dọa lớn đối với doanh nghiệp. Trong bối cảnh đó, VNPT iAlert ra đời như một “lá chắn số”, giúp doanh nghiệp chủ động giám sát môi trường 24/7, sớm phát hiện dấu hiệu bất thường, giúp giảm thiểu rủi ro do hỏa hoạn.

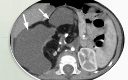
Phát hiện ung thư dạ dày sớm bằng cách nào?

Khi có triệu chứng lâm sàng nghĩa là ung thư đã ở giai đoạn tiến triển, không còn là giai đoạn sớm.

Cuộc chiến ngăn làn sóng ung thư - Kỳ 4: Để không còn nhắc K là... sợ

Có khoảng 40% ca ung thư (K) có thể phòng tránh được. Việc phát hiện sớm sẽ tạo ra khả năng trị khỏi cao và tăng thời gian sống lên nhiều lần cho người bệnh so với trước kia.

Trẻ 32 tháng tuổi đã viêm ruột thừa cấp, những dấu hiệu nhận biết sớm bệnh này

Trẻ dưới 5 tuổi phụ huynh cần lưu ý những dấu hiệu như thường xuyên quấy khóc, sốt, nôn, tiêu chảy thì cha mẹ cần đưa trẻ đến ngay các cơ sở y tế để trẻ được khám và điều trị kịp thời, tránh những biến chứng đáng tiếc xảy ra do viêm ruột thừa cấp.

Phẫu thuật u quái chứa tóc, xương, răng... cho bệnh nhi 8 tháng tuổi

U quái có thể lành tính (không ung thư) hoặc ác tính (ung thư). Tuy nhiên, ngay cả u quái ung thư cũng có thể được điều trị thành công nếu được chẩn đoán và điều trị kịp thời.

Uống phải dầu hỏa, trẻ 20 tháng tuổi suy hô hấp: Cách sơ cứu khi ngộ độc hóa chất

Ngộ độc thuốc và hóa chất tại nhà, tai nạn thường gặp ở trẻ nhỏ nhưng hậu quả khôn lường.

Đau bụng, rối loạn tiêu hóa cẩn thận lao ruột nhiều biến chứng, dễ tử vong

Bệnh lao ruột thể xảy ra ở bất kỳ bộ phận nào của đường tiêu hóa. Chẩn đoán là một thách thức và thường bị trì hoãn do biểu hiện không đặc hiệu. Bệnh dễ gây biến chứng: lồng ruột, tắc ruột, thủng ruột...

Ung thư lưỡi dễ nhầm với nốt nhiệt miệng, nhận biết thế nào?

Ở giai đoạn ban đầu, thường khó phát hiện bệnh ung thư lưỡi bởi các dấu hiệu của bệnh đều dễ bị nhầm lẫn với bệnh nhiệt miệng. Phát hiện sớm tỷ lệ sống sót cao nên cần nhận biết sớm các tổn thương

Ung thư có di truyền không, tránh cách nào?

Trên 80% nguyên nhân gây bệnh ung thư có nguồn gốc từ môi trường bên ngoài và nhờ tránh hoặc hạn chế tiếp xúc với các yếu tố này.

Muốn phát hiện sớm ung thư phải làm những gì?

Lợi dụng nỗi ám ảnh ung thư để tư vấn các xét nghiệm không cần thiết là việc làm không nên. Đa số xét nghiệm Marker ung thư không dùng để sàng lọc/tầm soát ung thư.