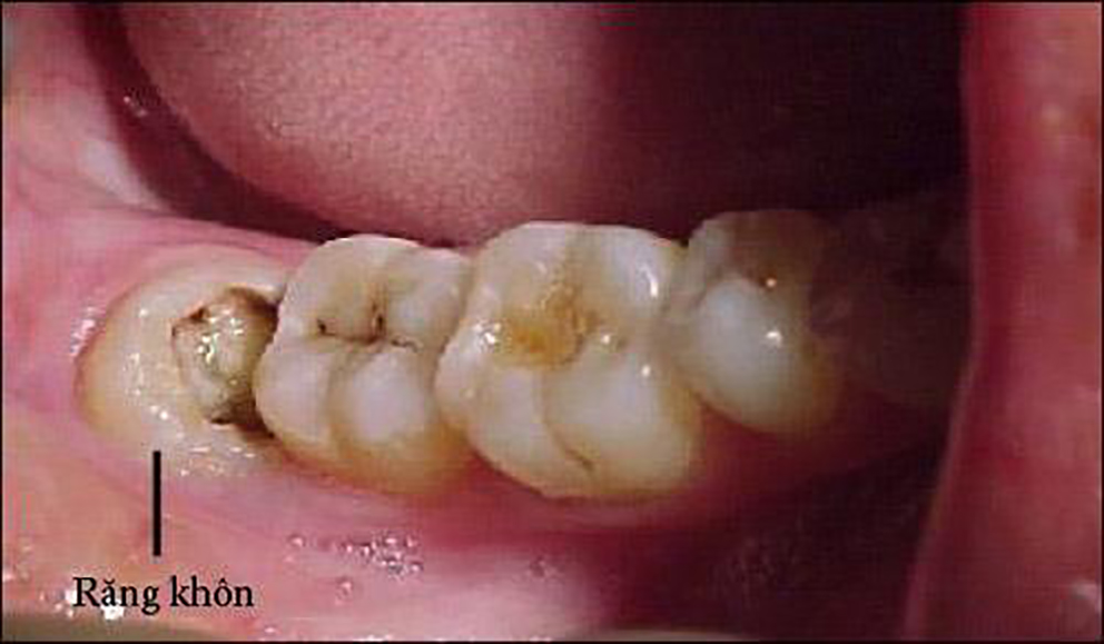
● Em 21 tuổi, mọc răng khôn khoảng 2 năm trước, nhưng 1 năm trở lại đây, cứ khoảng 2-3 tháng là răng đó cứ sưng tấy 1 lần. Hiện giờ cũng đang sưng, sờ hàm phía ngoài thì thấy có nổi hạch không đau. Bác sĩ cho em hỏi đó có là bệnh gì không ạ? (Lúc răng khôn mọc lên tất nhiên là rất đau, nhưng còn nổi hạch thì em sợ quá).
VTN…@GMAIL.COM
Nguồn: Internet - Răng khôn mọc 2 năm thỉnh thoảng còn đau có thể là “cu cậu không khôn mà dại” nên mọc lệch, đâm vào vùng chung quanh, thỉnh thoảng sưng tấy lên dọa chủ. Vùng miệng khi bị viêm thường nổi hạch cổ là chuyện bình thường. Bạn đi gặp nha sĩ khám cái răng “khôn mà dại”, nếu bác sĩ thấy cần xử lý gì thì phải nghe lời kẻo nó còn “quậy” đấy.
● Tôi 63 tuổi, thường làm việc vào ban đêm. Tôi ngủ 1 ngày khoảng 4 đến 5 tiếng, ít hút thuốc. Gần đây, vào ban đêm tôi thường hay ho rất gắt và dai, lại có đờm nữa, bác sĩ cho tôi lời khuyên hoặc cách trị dứt tình trạng này ạ, tôi cũng không có thời gian nhiều để đi khám.
GREN…@GMAIL.COM
- Anh có hút thuốc, dù ít thì phế quản luôn trong tình trạng bám khói thuốc giống như bồ hóng trong những gia đình đun bếp củi. Chất nicotin làm cho phế quản luôn trong tình trạng viêm, tiết dịch. Ho là phản xạ nhằm tống dịch nhầy (đờm) ra để đường thở thông thoáng. Một thời gian sau sẽ là viêm phế quản mãn tính. Lời khuyên của tôi là: ngưng hút thuốc kẻo mai mốt còn bệnh nặng hơn, có bệnh vô phương cứu chữa nữa đấy.
Biếm Họa
Video
Trạm hoạt hình
Showbiz Muôn Màu
Truyện Tranh
Đời Cười
Thể Thao Cười





Tối đa: 1500 ký tự
Hiện chưa có bình luận nào, hãy là người đầu tiên bình luận