Thói quen uống trà sữa đã khiến Xiao Yu được đưa vào Bệnh viện Chi Mei ở TP Đài Nam trong một cơn đau lưng dữ dội. Cô gái nhanh chóng được đưa đi phẫu thuật, sau khi xác định được nguyên nhân, là do 300 viên sỏi thận đang "chen chúc" trong bụng.

Hàng trăm viên sỏi đủ mọi kích thước được gắp ra từ trong thận của cô gái trẻ - Ảnh: Chi Mei Hospital
Bị sỏi thận vì thói quen không tốt
Theo tờ khai y tế, Xiao Yu luôn sử dụng trà sữa trân châu, rượu hoặc các thức uống công nghiệp thay cho nước lọc trong suốt nhiều năm qua.

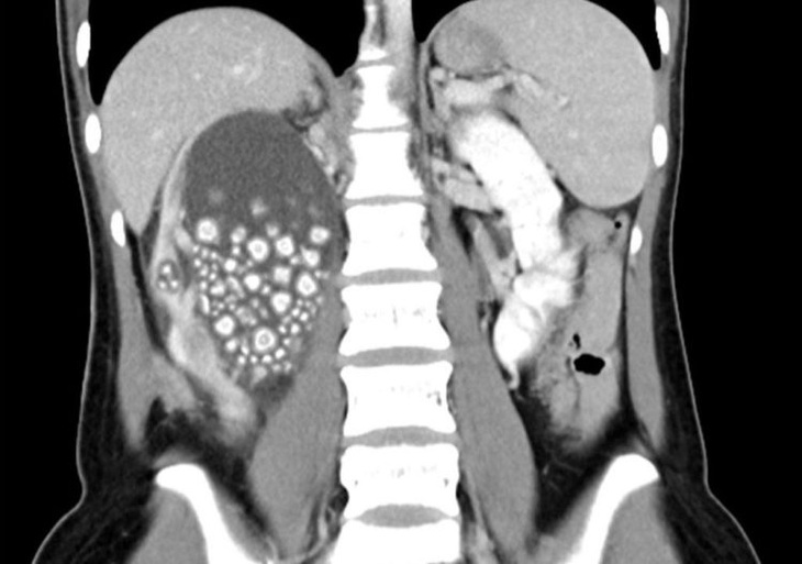
Thận phải của Xiao Mei có hàng trăm viên sỏi "chen chúc" nhau - Ảnh: Chi Mei Hospital
Trang Independent cho biết thêm khi chụp CT, kết quả cho thấy thận phải của Xiao Yu có hàng loạt viên sỏi có kích thước to nhỏ khác nhau, từ 5mm đến 2cm. Thậm chí, chúng trông giống như những... chiếc bánh bao hấp phiên bản mini.
Các bác sĩ đã phải mất 2 giờ để gắp thành công khoảng 300 viên sỏi từ thận của Xiao Yu ra ngoài, nhờ phương pháp mổ nội soi.
Bác sĩ Lim Chye-yang, người thực hiện ca phẫu thuật, tiết lộ nguyên nhân chế độ ăn nhiều canxi và protein, cũng như uống không đủ nước đã gây hình thành những viên sỏi thận. Ông cho biết việc uống đủ nước rất quan trọng, để làm loãng khoáng chất trong nước tiểu, giảm nguy cơ hình thành sỏi.
Sau khi mổ, Xiao Yu được xuất viện cùng hàng tá lời khuyên hữu ích cho cơ thể.
Biếm Họa
Video
Trạm hoạt hình
Showbiz Muôn Màu
Truyện Tranh
Đời Cười
Thể Thao Cười




Tối đa: 1500 ký tự
Hiện chưa có bình luận nào, hãy là người đầu tiên bình luận