testtuoitre

Tag: breakdance

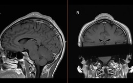
'Mọc sừng' trên đỉnh đầu do nhảy breakdance hơn 20 năm

Một bệnh nhân đã phát triển khối u lành tính trên da đầu sau nhiều năm thực hiện động tác xoay đầu trong nhảy breakdance.

Breaking được kỳ vọng bùng nổ tại Olympic 2024

Olympic 2024 sẽ chào đón môn thể thao mới đầy thú vị mang tên breaking lần đầu tiên được đưa vào chương trình thi đấu thế vận hội.

Fido Crew đại diện Việt Nam tranh tài breakdance tại Pháp

Fido Crew đã vượt qua 20 đội tranh tài để giành ngôi vị quán quân tại đêm chung kết cuộc thi breakdance quốc tế Saigon Breaking Battle - Đường tới Paris 2024 diễn ra vào tối 11-5 do Viện Pháp tại TP.HCM tổ chức.

Cơ hội chinh phục đam mê tại Pháp dành cho các tài năng Breakdance

Nhóm nhảy xuất sắc tại cuộc thi Breakdance 'Saigon Breaking Battle - Đường tới Paris 2024' sẽ có cơ hội tới Pháp để thi đấu vào năm 2025.

Cơ hội đi Pháp dự thi breakdance

Chào mừng Olympic Paris 2024, Viện Pháp tại TP.HCM tổ chức cuộc thi breakdance “Saigon Breaking Battle - Đường tới Paris 2024”, với mục đích thúc đẩy giao lưu văn hóa giữa châu Âu và Việt Nam.

Hiphop never die, F0 xoay người ke đầu tưng bừng tại bệnh viện

Màn breakdance tưng bừng của chàng trai đang là F0 ngay tại bệnh viện điều trị COVID khiến dân tình muốn giật... hết cả mình.

Hai bé trai nhảy breakdance cực sung cùng thầy hướng dẫn

Hai em bé mẫu giáo nhảy breakdance với thầy giáo hướng dẫn, các động tác đều rất dứt khoát và khớp với nhạc.