testtuoitre

Tag: bệnh nhiễm trùng

22 dự án nghiên cứu của Bệnh viện Bệnh nhiệt đới đã ứng dụng AI

Giữa con người và vi sinh vật có một cuộc chiến không hồi kết. Tác nhân gây bệnh luôn tiến hóa nhằm thích ứng cao mọi áp lực, trí tuệ nhân tạo có thể hỗ trợ tất cả các giai đoạn của đại dịch.

Sốc khi kháng sinh mất tác dụng

Tại nhiều nước, việc sử dụng kháng sinh thế hệ 1 vẫn điều trị hiệu quả nhưng ở Việt Nam phải dùng kháng sinh thế hệ 3 và 4 (thế hệ mới) mà nhiều bệnh nhân vẫn kháng toàn bộ kháng sinh.

Cận Tết nhiều người sốt, ho dai dẳng, đừng tự ý dùng kháng sinh

Giáp Tết Nguyên đán, nhiều người bỗng xuất hiện triệu chứng sốt ớn lạnh, nhức mỏi người, đau họng, ho dai dẳng không hết… Nguyên nhân do đâu?

Báo động 'đại dịch thầm lặng' giết chết 10 triệu người/năm

Đến năm 2050, mỗi năm có khoảng 10 triệu người chết do thuốc kháng sinh không còn hiệu quả với vi rút, vi khuẩn và các mầm bệnh khác.

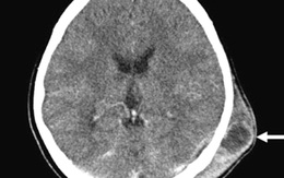
'Bệnh lạ' của mẹ bé gái hiếu thảo ở Bình Định, làm sao tránh?

Bệnh lạ chính là bệnh áp xe dưới da đầu. Ngoài ra bệnh nhân còn bị các bệnh người cao tuổi hay gặp như tăng huyết áp, rối loạn tuần hoàn não.

Nguy kịch vì mắc uốn ván sau khi cắt trĩ tại nhà

Ngày 18-10, Bệnh viện Bệnh nhiệt đới trung ương cho hay vừa tiếp nhận hai bệnh nhân mắc uốn ván nguy kịch phải thở máy. Trong đó, một bệnh nhân nhiễm bệnh sau khi nhờ người quen cắt trĩ tại nhà.

TP.HCM ứng phó với bệnh nhiễm trùng mới nổi

Gần đây, TP.HCM bất ngờ xuất hiện các bệnh nhiễm trùng mới nổi như đau mắt đỏ, đậu mùa khỉ...

Giải mã gene thành công ca mắc đậu mùa khỉ 'nội địa' đầu tiên tại TP.HCM

Ngành y tế TP.HCM vừa công bố kết quả giải mã gene của bệnh nhân mắc bệnh đậu mùa khỉ "nội địa" đầu tiên được phát hiện tại TP.HCM.

Đã xác định được tác nhân gây bệnh đau mắt đỏ ở TP.HCM

Enterovirus và adenovirus là hai tác nhân chính gây ra bệnh đau mắt đỏ hiện nay ở TP.HCM, trong đó chiếm ưu thế là enterovirus (86%).

Bác sĩ giải thích về món tiết canh bê

Chín người dân ở xã Sơn Lĩnh, huyện Hương Sơn (tỉnh Hà Tĩnh) bị đau đầu, đau bụng, buồn nôn, tiêu chảy phải vào viện cấp cứu sau khi ăn tiết canh bê.