testtuoitre

Tag: bà cụ

Phát hiện thi thể bà cụ bị thiêu cháy trong nhà riêng tại Gia Lai

Người dân xã Vĩnh Thịnh (Gia Lai) phát hiện thi thể cụ bà 79 tuổi bị thiêu cháy tại nhà riêng, nên trình báo cơ quan công an.

Bà cụ nhanh trí giành lại sợi dây chuyền từ tay tên cướp

Sau khi giằng co khiến tên cướp làm rơi sợi dây chuyền xuống đất, bà cụ liền hô hoán khiến hắn hoảng sợ bỏ chạy. Vụ việc xảy ra ở huyện Bắc Bình (Bình Thuận) hôm 18-5.

Chó con đùa giỡn tinh nghịch bên bà cụ

Khoảnh khắc chú chó con đùa giỡn khi theo chân bà ra vườn hái rau khiến nhiều người xem thích thú.

Chú chim đứng ở cửa sổ hót cho cụ bà nghe để xin ăn

Hiểu lời đề nghị của bà cụ, chú chim đứng ở cửa sổ hót để được cho ăn.

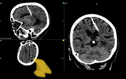
Bà cụ sống khỏe với cây kim trong não suốt 80 năm

Khi chụp CT, các bác sĩ ở vùng Viễn Đông Nga rất bất ngờ khi phát hiện cây kim dài gần 3cm trong não bà cụ 80 tuổi.

Mỗi lần tôi gọi bà ra ăn cơm

"Gọi bé bé cái miệng thôi, tôi ở Yên Bái cũng nghe thấy nè", một người xem hài hước bình luận.

Bố nghẹn ngào khi thấy con gái chia sẻ phần ăn cho bà cụ đi đường

Thấy con gái mang phần thức ăn của mình đưa cho bà cụ đứng ở vỉa hè, người bố ngồi trong quán nghẹn ngào hạnh phúc vì con gái sống nhân hậu.

Chú chó đi lượm ve chai để phụ tiền mua đôi giày cho bà cụ

Nhiều người xem cảm phục trước sự thông minh và tình cảm của chú chó dành cho bà cụ.

Tình bạn đặc biệt giữa cậu bé 2 tuổi và cụ bà 99 tuổi giữa đại dịch

TTO - Một cậu bé mới biết đi và bà cụ hàng xóm 99 tuổi ở bang Alabama (Mỹ) dần trở thành đôi bạn thân giữa đại dịch COVID-19.

Chàng trai vui trở lại khi tâm sự với bà cụ ngồi ăn một mình

Thấy bà cụ ngồi ăn một mình, chàng trai đang có chuyện buồn quyết định đến trò chuyện. Sau đó, anh xin phép được thanh toán bữa ăn và cảm ơn bà đã giúp anh vui trở lại.